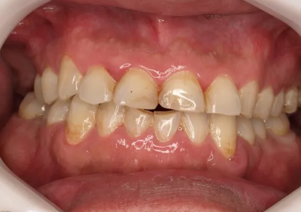
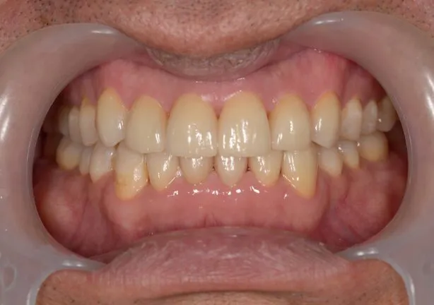
症例
case1
Before

After

Before

After

治療内容 | 口腔内診査〜カウンセリング 歯周初期治療 アライナー矯正治療 |
---|---|
治療期間 | 1年 | 治療回数 | 30回 |
リスク | 予定通り動かない場合はワイヤー矯正に移行する場合、補綴治療が終了後必要になる可能性がある、術中の疼痛がある 今後のメンテナンスが必須となる |
費用(税込) | ¥1,100,000 |
case2
Before

After

Before

After

施術内容 | 口腔内診査〜カウンセリング 歯周初期治療 歯周外科治療 インプラント埋入 インプラント部仮歯立ち上げ 矯正治療 矯正治療後最終的な噛む位置の決定 最終的な被せ物の型取り〜装着 |
---|---|
治療期間 | 3年 |
治療回数 | 約100回 |
リスク | 治療、手術、矯正治療中の疼痛 今後のメンテナンスが必須となる |
費用(税込) | 約¥5,610,000 |
矯正歯科とは

矯正歯科では、専用の器具を装着して歯を動かし、歯並びをよくしたり、正しい噛み合わせをつくったりという治療を行います。
歯の乱れ・噛み合わせを整えることは、歯磨きがしやすい口内をつくり、汚れや菌を防ぐことに繋がります。
歯周病や虫歯予防のためにも、よい歯並びを手に入れることは重要といえます。
矯正治療は、歯の健康寿命を延ばすことにも大きな効果を持ちます。
当院の矯正歯科

当院では、矯正治療を専門とする歯科医師による高いレベルの矯正治療をお受けいただけます。
「ワイヤー矯正」「舌側矯正」「マウスピース型矯正」といった矯正方法で対応していますが、患者様それぞれの歯並びやご要望に応じて適切な治療方法をご提案いたします。
マウスピース型矯正は、アメリカで開発され今日では世界中で採用されている「インビザライン」を導入しており、従来の治療方法にはなかったメリットを生かして患者様に良質な矯正治療をご提供しております。
矯正治療というと、第一に「審美性」をお考えの方も多いかと思いますが、矯正治療において何より大切なのは、よりよい噛み合わせをつくることです。
当院では、奥歯に負担がかからず、虫歯や歯周病が進行しにくい噛み合わせをつくる「機能性」を第一に考えた矯正治療を行っています。
また、歯並びが整えば歯磨きもしやすくなり、お口の中を常に清潔な状態に保つことができるメリットもあります。
そうすることで、おのずと見た目も美しい審美性を兼ね備えたお口元が実現できるのです。
矯正治療の種類と特徴
ワイヤー矯正
歯の1本1本にブラケットと呼ばれる装具を取り付け、そこに金属ワイヤーを通して歯を動かすというものです。
最もスタンダードな矯正治療として古くからよく知られています。
メリット
ワイヤー(金属)素材の特性がさまざまな矯正に応用できる
舌側矯正と比較して歯磨きがしやすい
裏側矯正と比較して発声・発音への影響や舌の痛みが少ない
ほかの矯正装置と比較して費用が安い
矯正中も虫歯治療・詰め物・被せ物が可能
デメリット
歯の表面の矯正装置が見えてしまう
食べ物がひっかかりやすい
表面の厚みで口元が出っ張っているように感じる
金属アレルギーの方には不向き
治療期間 | 1年半〜2年 |
---|---|
治療回数 | 10回程度 |
費用(税込) | ¥770,000 |
舌側矯正
歯の裏側・舌側に矯正装置をつける治療で、「舌側矯正」「リンガル矯正」などとも呼ばれます。
メリット
日常生活において装置はほぼ見えない
表側矯正と比較して前歯が動かしやすく、短期間で整う
表側矯正と比較して歯のエナメル質の傷みがほとんどない
前歯や唇の周辺が傷つきにくいので、スポーツも可能
デメリット
最初はどうしても違和感をおぼえてしまう
最初はしゃべりにくい。慣れるまで発音に影響がでることもある
歯磨きがしにくい
治療期間 | 数か月~2年半· |
---|---|
治療回数 | 6回〜36回 |
費用(税込) | ¥1,430,000 |
マウスピース型矯正(インビザライン)
透明のマウスピースを使用する矯正治療の一つで、世界各国で導入されています。
先進的な医療機器「iTero(口腔内スキャナー)」を使うことで、歯型を取る必要がなく、正確・精密な3Dデータを取得できます。
メリット
透明なので目立ちにくい
取り外しができるので、食事時や歯磨き時のストレスが少ない
痛みや違和感が少ない
歯石がつきにくく、虫歯や歯周病になりにくい
通院回数が少なくてすむ
デメリット
1日22時間以上の装着が必要
取り外しに煩わしさを感じることがある
装着時間を守らないと効果が出ない
治療期間 | 2ヶ月〜3年程度 |
---|---|
治療回数 | 2〜3ヶ月に1度 |
費用(税込) | ¥1,045,000 |
矯正治療の流れ
1カウンセリング
まずは歯並びや噛み合わせ、歯茎の状態などをチェックします。お話しをしながら、患者様それぞれに合わせて最適な治療法を模索していきます。その上で、治療にかかるおおよその期間や治療費についてご説明します。
2検査(資料採得)
精密検査を行い、歯型の採取などを行って資料を揃えます。
また、歯のどの部分が気になるのか、なぜ矯正治療がしたいのかなど、患者様のご要望をお伺いして治療方針を決めていきます。3診断・治療計画の説明
検査の結果が出たら、治療計画を立てていきます。装置や費用、期間などを丁寧にご説明し、治療に必要な約束事を確認します。ご不明点があればなんでもご質問ください。
4治療
治療計画にご納得いただけたら、治療を開始します。
1カ月に一度通院していただき、装置の調整やお口の中のお掃除をしていきます。
その際、治療費と処置料、観察料が別途かかりますのでご了承ください。5保定・経過観察期間
装置を外したあとには、整えた歯並びが元に戻らないように、取り外し可能な保定装置をはめていただきます。この期間は、3カ月~半年に一度、通院ください。