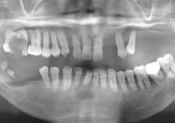
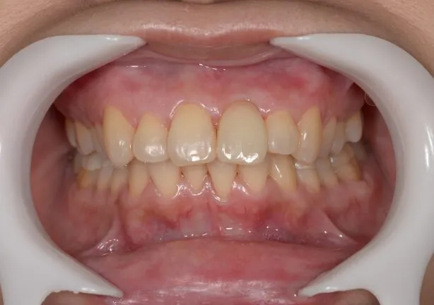
症例
case1

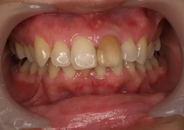
Before

After

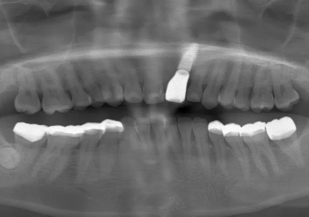
Before

After

Before

After
治療内容 | 口腔内診査〜カウンセリング 歯周初期治療 仮の義歯にて噛む位置の再設定 インプラント埋入 仮歯にてインプラントを含めた噛む位置の決定 最終的な被せ物(ジルコニア)の型取り〜装着 |
---|---|
治療期間 | 3年 |
治療回数 | 100回 |
リスク | 手術、並びに治療における疼痛 今後のメンテナンスが必須となる |
費用(税込) | 約¥11,000,000 |
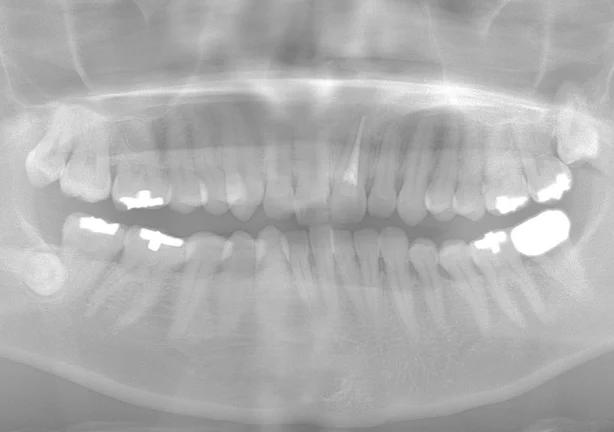
case2

Before

After

Before

After

Before

After
治療内容 | 口腔内診査〜カウンセリング 歯周初期治療 仮歯にて噛む位置の再設定 インプラント埋入 仮歯にてインプラントを含めた噛む位置の決定 最終的な被せ物(ジルコニア)の型取り〜装着 |
---|---|
治療期間 | 1年半 |
治療回数 | 40回 |
リスク | リーニングにこない場合噛み合わせの確認ができないため装着していった人工物が割れてしまう可能性があるため、今後のメンテナンスが必須となる |
費用(税込) | 約¥2,860,000 |
インプラントとは

歯周病や外傷などで歯を失ってしまった場合、それを補う方法として「入れ歯」「ブリッジ」と並んで検討されるのが「インプラント治療」です。
インプラント治療では、歯を失ってしまった部分に人工歯根を埋め込み、そこに人工の歯を取り付けて歯の噛む力や見た目を再現します。
ちなみに、インプラントという言葉そのものは、「人工の医療器材を体内に埋め込むこと」の総称で、ほかの医療分野でも用いられます。
人工関節や心臓のペースメーカーなどもインプラントであり、歯科医療では人工歯根がインプラントにあたります。
しかし近年、歯科インプラント治療が広く知られるようになったため、一般的に「インプラント」という言葉はそのまま歯科インプラントを示すようになっています。
当院のインプラントの特徴

インプラント治療は、外科手術を必要とします。そのため、術前の綿密な検査や正確な診断、歯科医師の経験などが重要となってきます。 当院では、まずお口の中をチェックし、インプラントの土台となる顎骨が歯周病になっていないかなど、口腔内および身体全体の健康状態を確認しています。 このとき、歯科用CTやマイクロスコープなどでしっかり検査します。その上で安全に治療ができる患者様にのみ、インプラントの埋入をおすすめしています。
手術の前には、症状や治療について丁寧にわかりやすくご説明します。メリットとデメリットもしっかりお伝えしてから患者様に治療を進めるかどうかのご選択をしていただいておりますので、ご安心ください。
インプラント治療に対して、「怖い」「不安」といったイメージをお持ちの方もいらっしゃることでしょう。当院では患者様に安心して治療をお受けいただけるよう、細かい工程まできちんと丁寧に治療を行っております。
インプラントを埋入する際には、その箇所を拡大できる先進的な機器を用い、歯茎と骨がしっかり分かれているかを確認します。また、埋入時には、両隣の歯との位置関係や方向までを考慮します。
細かい部分まで考えながら一つひとつステップを踏んでいくことで、リスクを減らし、ずっと長持ちするインプラントをご提供しています。
入れ歯・ブリッジとの比較

歯を失ったときに用いられる治療方法としては、「入れ歯」と「ブリッジ」があり、それぞれにメリット・デメリットがあります。
インプラント治療は、それらのデメリットを軽減したり解消したりすることができ、より快適な使い心地を提供できる治療方法といえます。
最も重要なことは、「残っている歯を守るためにインプラントを選択する」という考え方です。
入れ歯
「入れ歯」は、歯の欠損を補いつつ、いつでも取り外しできることがメリットです。 安価で比較的短期間でできる一方、保険診療の場合は使用できる素材が限られているため、素材を選べる自由診療(自費)の入れ歯より耐久性や快適さが劣る傾向があります。
ブリッジ
歯を失った部分の両側に生えている健康な歯を支柱として、橋をかけるように人工歯を入れる治療です。人工歯が固定されるので異物感・違和感が少ないのがメリットですが、支台歯(両側の歯)は健康な歯でも削らなくてはならないという点がデメリットといえます。
インプラントが入れ歯・ブリッジより優れているポイント
まず、インプラントは自然の歯に近い色を選べたり、留め金などが見えたりするようなことがないため、見た目の違和感がほとんどありません。
また、熱や味を感じることができ、しっかりものを噛むことができます。
治療にあたって、ブリッジのように周囲の健康な歯を削る必要はないことから、周りの歯への負担もなく、それが「1本でも多くの歯の寿命を延ばす」ということに繋がります。
入れ歯のような取り外しの手間が不要で、通常通りに歯磨きがしやすく、口内を清潔に保つことも可能です。
インプラントの流れ
インプラント治療は次のような工程で行われます。
1カウンセリング
インプラント治療の内容(治療内容・期間・費用)について詳しくご説明します。患者様からのお尋ねやご相談も承ります。
2口腔内のケア
歯周病など口内の状態を確認し、丁寧なクリーニングなどを経てインプラント治療に進みます。
3精密検査
失った歯の位置や顎骨の状態などを確認するために行います。
インプラントを埋入する骨や他の部位を含めて、精細に診査・診断していきます。4治療計画のご説明
カウンセリングや精密検査の結果をもとに、その患者様に適した治療計画を立てます。
それをご本人様にしっかりご説明します。5インプラント埋入
インプラントを顎の骨に埋入する手術を行います。
歯茎を切開し、顎の骨を削り、正確にインプラントを埋め込みます。6待機期間
骨とインプラントが結合するまで、約3~6カ月待機します。
7アバットメント取り付け
インプラントが安定したら、人工歯(上部構造)を連結するためのアバットメントを装着します。
8型取り
人工歯の素材などをしっかり打ち合わせし、型取りを行います。
9人工の歯の取り付け
アバットメントが定着し歯茎の状態が整ったら、人工歯を取り付けます。
10メンテナンス・定期検診
治療が終わった後もメインテナンスや検診のため、定期的に通院していただきます。
インプラントのメリット・デメリット
メリット
治療の際、ほかの歯への負担がない
しっかりと噛めるようになる
左右の噛むバランスが整う
食物の味がわかるようになる
歯ごたえ・食感・温度などがわかるようになる
入れ歯のように取り外す面倒がない
見た目が自然
デメリット
手術が必要になる(入院は不要)
口内の状態によっては、長期の治療になる場合がある
手術直後は、出血・違和感・痛みが起こることがある
口内や全身の状態により、治療が行えない場合がある
自由診療のため、入れ歯やブリッジより費用が高額になる
治療期間 | 約3~10ヶ月 |
---|---|
治療回数 | 6~8回程度 |
費用(税込) | ¥330,000~¥495,000 |