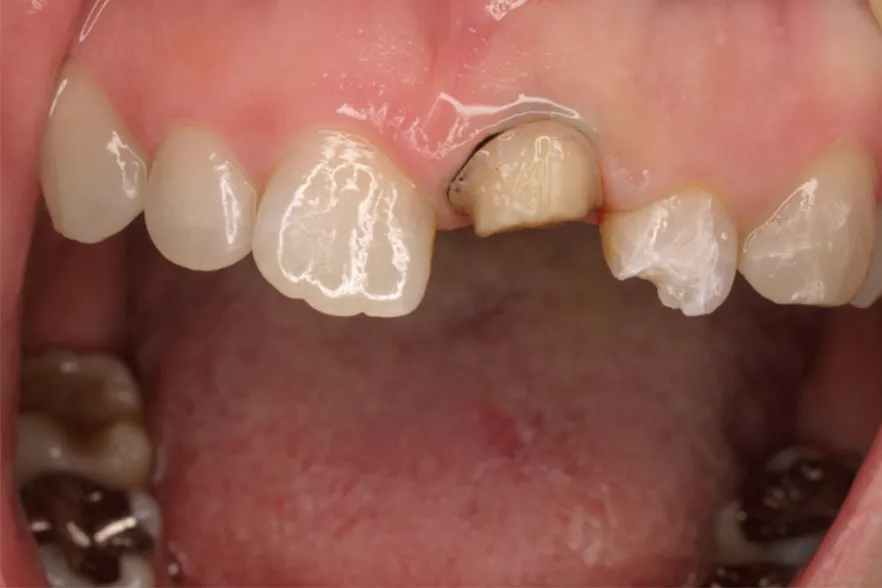
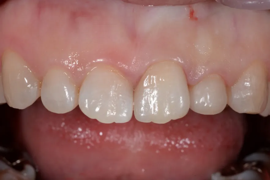
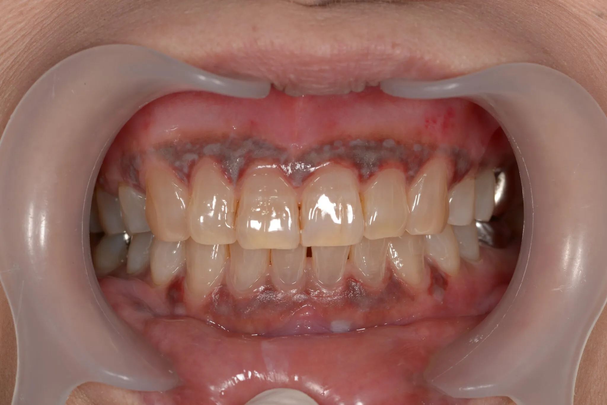
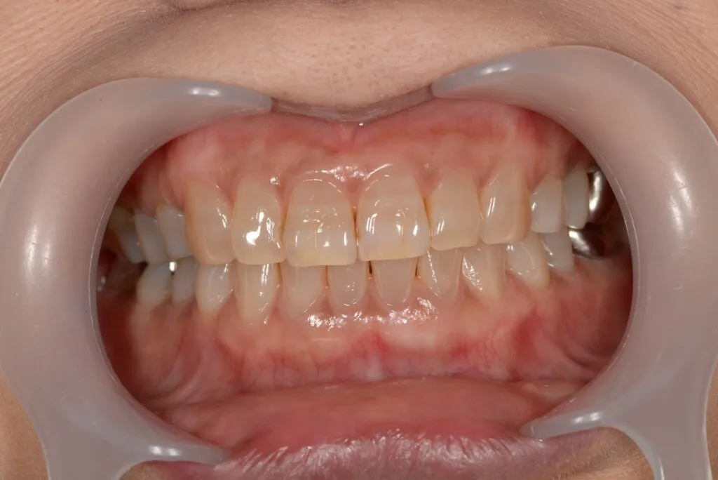
症例
case1
Before

After

施術内容 | 口腔内診査〜カウンセリング 歯周初期治療 仮歯を入れ機能的な評価 最終的な型取り〜装着 |
---|---|
治療期間 | 2ヶ月 |
治療回数 | 6回 |
リスク | クリーニングにこない場合歯茎が下がってくるため今後のメンテナンスが必須となる |
費用(税込) | 約¥341,000 |
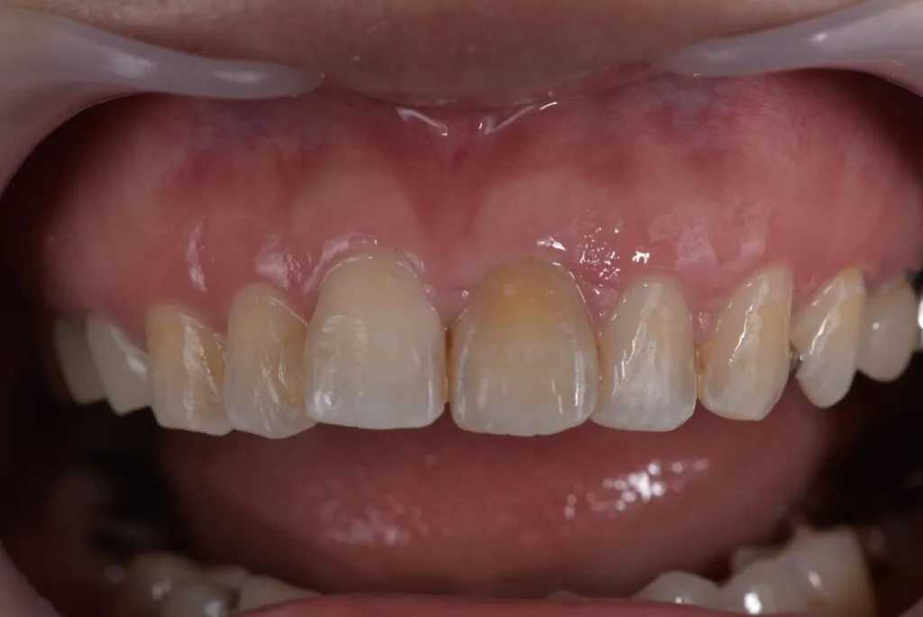
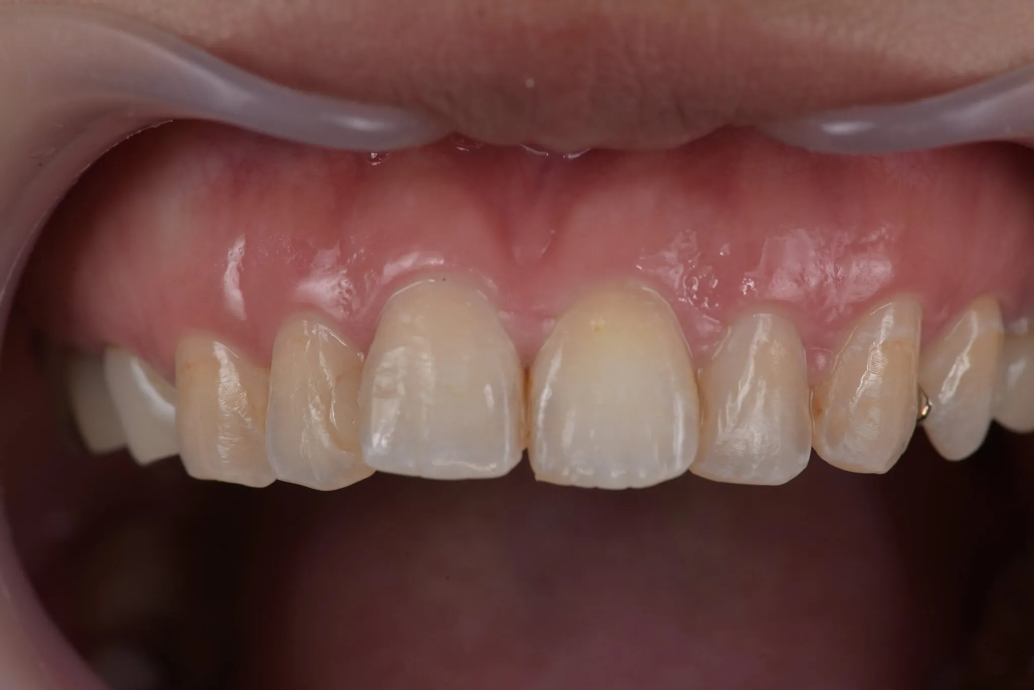
case2
Before

After

治療内容 | 口腔内診査〜カウンセリング 歯周初期治療 仮歯を入れ機能的な評価 最終的な型取り〜装着 |
---|---|
治療期間 | 1ヶ月〜2ヶ月 |
治療回数 | 5回 |
リスク | クリーニングにこない場合噛み合わせの確認ができないため装着していった人工物が割れてしまう可能性があるため、今後のメンテナンスが必須となる |
費用(税込) | 約¥143,000 |
case3
Before

After

治療内容 | 右より、Zrクラウン、CTG+インプラント+Zrクラウン、ラミネートベニア(計3本修復)ホワイトニング |
---|---|
治療期間 | 8ヶ月 |
治療回数 | 15回 |
リスク | 外科的な侵襲、回数や期間的な問題 |
費用(税込) | ¥1,023,000 |
審美治療
インターナルブリーチ
インターナルブリーチとは失活歯に行うホワイトニングです。
失活歯は色が変色しやすく、黒ずんだ色に変化します。その失活歯を従来の色のようにホワイトニングし、見た目の改善を行えます。歯の神経を治療した後の歯の色が気になる方は、大和の当院へご相談ください。
Before

After

治療内容 | 右上の前歯、失活歯のインターナルブリーチ |
---|---|
治療期間 | 1ヶ月半 |
治療回数 | 5回 |
リスク | 歯の強度の低下、色調の後戻り |
費用(税込) | ¥55,000 |
ガムブリーチ
歯の色を白くするのが通常のホワイトニングですが、歯肉が黒ずんでいるのを通常に戻すのがガムブリーチです。
歯肉はメラニン色素が付着すると黒ずんできますので、その歯肉の部分をメラニン色素除去剤で中和します。
Before

After

治療内容 | 歯肉の着色を薬液を用いて表面を一層除去し新鮮面を出す |
---|---|
治療期間 | 30分 |
治療回数 | 1回 |
リスク | 処置後数日は疼痛がある場合がある |
費用(税込) | ¥27,500 |
ベニア症例
ベニア術前

ベニア術後

治療内容 | ラミネートべニア |
---|---|
治療期間 | 1〜2ヶ月 |
治療回数 | 4〜5回 |
リスク | 仮歯、仮づめが非常に取れやすい |
費用(税込) | ¥132,000 |
審美治療について
「口元に自信がない」という方、具体的には、「歯並びが悪いのがイヤ」「銀歯が見えるのがイヤ」 「歯が黄色いのが気になる」などのお悩みを持つ方にご提案しています。
歯の詰め物(インレー)や被せ物(クラウン)、入れ歯などを白い素材にしたり、歯並びをきれいにする矯正治療を行ったり、歯を白くするホワイトニングを行ったりします。
白い素材としては、主に「セラミック(陶器)」が使われます。自然な白さになり、噛み合わせを整えて噛む力を向上できるという効果もあります。
審美治療は、見た目の美しさのためだけでなく、口腔内の機能や歯の耐久性を高められるというのも大きな特徴です。
当院の審美治療へのこだわり

当院では、「歯の機能が改善されることで審美的なものも追いついてくる」という考え方を基本としています。見た目がきれいなものは機能も安定し、機能に違和感があれば審美的観点からも問題ありと考えます。 たとえば、被せ物に白い素材を入れて見た目を整えるだけでは、長期的には歯がもろくなるなど機能面には不安が残ります。 また、矯正治療ができないという場合に、審美面を整えることで矯正に近い噛み合わせ・機能を取り戻せる場合もあります。 審美治療といっても、ただ白さの実現だけでなく、総合的・全体的に判断しながらご提案を行っていきたいと当院では考えています。
セラミック
セラミックの代表的な素材としては「ジルコニア」がありますが、セラミック自体種類が豊富で、それぞれをうまく組み合わせて使うことも可能です。
治療に際し、どんなセラミック素材を使用するかは患者様ごとにカウンセリングを行い、お口の状態やご本人のご要望などさまざまな要件を鑑みて選んでいきます。
ジルコニアの詳細
別名「人工ダイヤモンド」とも呼ばれています。
セラミックの種類のなかでも強度が高く、被せ物や詰め物などさまざまな治療で活躍します。
破損の心配が少なく、劣化もしにくいことから、宝飾品をはじめスポーツ用品や料理器具など、歯科以外でも幅広く用いられています。
メリット
強度が高い
変色しない
歯石が付着しにくい
臭わない
デメリット
ほかのセラミック素材と比べて透明度が低い
硬すぎてほかの歯を傷つけることがある
保険適用外なので高額になる
治療期間 | 1ヶ月 |
---|---|
治療回数 | 2〜3回 |
費用(税込) | ¥220,000 |
ラミネートベニア

ラミネートベニア一般的な矯正治療のように長期間時間をかけて歯を動かしたり、セラミック治療のように歯を大きく削って被せ物をしたりということは必要ないため、特に、短期間で前歯を整えたい方に向いています。 ただし、ラミネートベニアはすべての方に適用となる治療ではなく、治療を行うのがどの歯なのか、また歯列や歯がどのような状態かといったことによって治療の可否が異なります。 薄い板状のセラミックを使用するため、歯列が大きく乱れていたり、奥歯の噛み合わせが悪かったりという治療は原則的に行うことはできません。
メリット
歯を全く削らない
変色しにくい
デメリット
大きく歯並びを変えられない
適応症が限られる
治療期間 | 約1-2ヶ月間 |
---|---|
治療回数 | 2回 |
費用(税込) | 1本 ¥77,000~¥198,000程度 |
当院のホワイトニング
インターナルブリーチ
インターナルブリーチとは失活歯に行うホワイトニングです。
失活歯とは、虫歯・外傷・破損などで歯の神経が機能していなかった、根管治療で歯の神経を抜いたりした歯のことです。
色が変色しやすく、黒ずんだ色に変化します。その失活歯を従来の色のようにホワイトニングし、見た目の改善を行うことが可能です。歯の神経を治療した後の歯の色が気になる方は、ご相談ください。
メリット
被せ物の交換よりも歯をほとんど削ることなく、天然歯の大部分を保持できる
痛みが比較的少ない治療法
デメリット
一度白くした歯が元の色に戻る可能性がある
治療中、歯の内部の圧力が上昇して痛みが生じることがある
治療期間 | 約2ヶ月 |
---|---|
治療回数 | 2回〜3回 |
費用(税込) | ¥55,000~¥165,000 |
ガムブリーチ
歯の色を白くするのが通常のホワイトニングですが、歯肉が黒ずんでいるのを通常に戻すのがガムブリーチです。
歯肉はメラニン色素が付着すると黒ずんくるため、その歯肉の部分をメラニン色素除去剤で中和するという処置を行います。
メリット
術後の回復が早い
ダウンタイムがない
デメリット
アレルギーがある場合には適応できない
歯肉退縮のリスクがある
治療期間 | 1ヶ月程 術後観察が半年〜1年必要 |
---|---|
治療回数 | 約4回 |
費用(税込) | ¥110,000~¥165,000/本 |