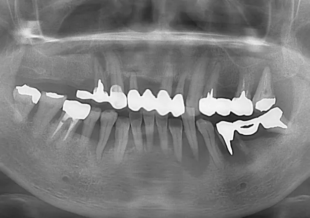
症例
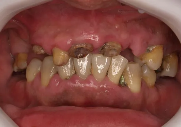
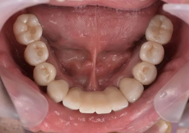
case1

Before

After

Before

After

Before

After

Before

After
治療内容 | 口腔内診査〜カウンセリング
仮の義歯にて咬む位置の再設定 インプラント埋入 仮歯にてインプラントを含めた咬む位置の決定 最終的な被せ物(ジルコニア)の型取り〜装着 |
---|---|
治療期間 | 4年(月2回の治療を要望されたため) |
治療回数 | 約100回 |
費用(税込) | 約¥8,800,000 |
リスク | 手術、並びに治療における疼痛 今後のメンテナンスが必須となる |
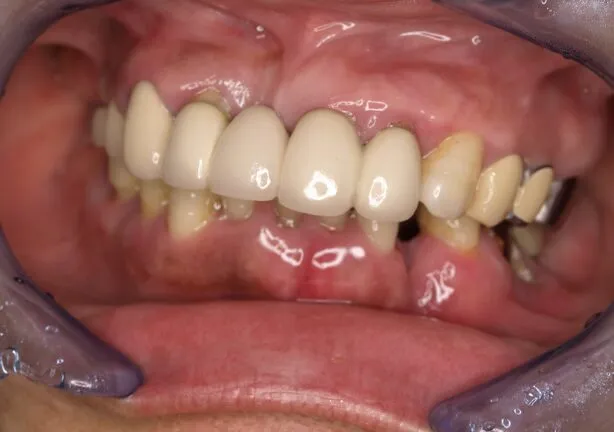
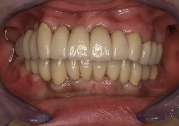
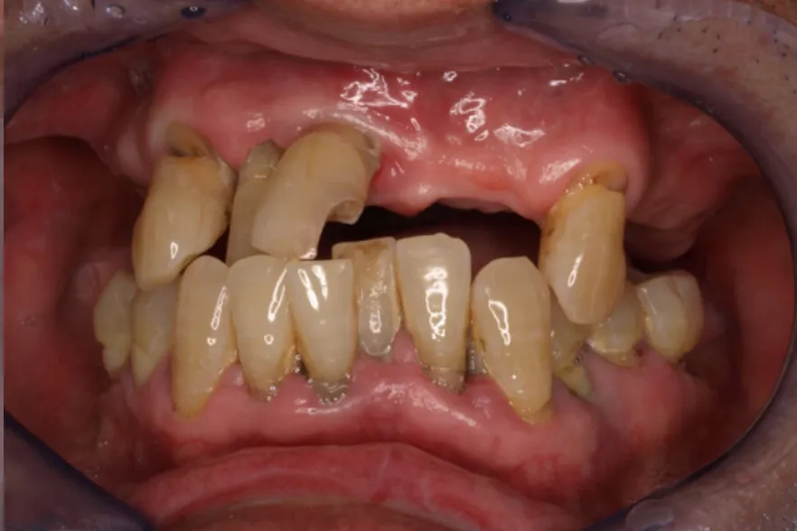
case2

Before

After

Before

After
治療内容 | 口腔内診査〜カウンセリング 歯周初期治療 インプラント埋入 歯周外科治療 仮歯にてインプラントを含めた咬む位置の決定 最終的な被せ物(メタルセラミックスクラウン)の型取り〜装着 |
---|---|
治療期間 | 2年半 |
治療回数 | 約80回 |
リスク | 手術、並びに治療における疼痛 連結をしている歯が二次的な虫歯、歯周病になりやすくなる 今後のメンテナンスが必須となる |
費用(税込) | 約¥4,950,000 |
case3
Before

After

治療内容 | 口腔内診査〜カウンセリング 歯周初期治療 仮歯、及び仮義歯にて咬む位置の決定 インプラント埋入 歯周外科治療 インプラント後の仮歯にて咬む位置の決定 最終的な被せ物(メタルセラミックスクラウン)、義歯の型取り〜装着 |
---|---|
治療期間 | 2年半 |
治療回数 | 約80回 |
リスク | 手術、並びに治療における疼痛 連結をしている歯が二次的な虫歯、歯周病になりやすくなる 今後のメンテナンスが必須となる |
費用(税込) | 約¥3,630,000 |
諦めないでご相談ください
虫歯や歯周病の状態で、「どうにかしなければならない」と考えながらも行動に移せないという方は少なくありません。

過去の治療で、
「説明なく歯を削られてしまった」
「痛みが苦手と伝えたのに、麻酔なしで治療を行われた」
「高い治療ばかりすすめられた」
といったような経験から歯医者に不信感を持ち、歯科医院に行きたくとも行けず、「もう諦めるしかない」とおっしゃる方も多いようです。
当院は、すべての患者様に噛める喜びをつくり、守り続ける」という理念(ミッション)に基づき、医師もスタッフも丁寧かつ安全安心な治療の実現に尽力しています。
「歯がボロボロで気になっているのに長く放置してしまっている」
「過去の歯医者でのきつい体験のせいでなかなか治療に行く気にならない」
そんな方々にはご相談だけでも承りますので、まずはお気軽に『遠藤歯科医院』へご来院ください。
コンサル・カウンセリングの重要性
歯科医療における豊富な経験と知識をもとに、ご来院した方の口腔内の現状や、そこに至った原因などを丁寧にコンサルティングしています。
検査・診断にのっとって、症状の改善や口腔内全体の健康を維持するための治療計画をご提案・ご説明いたします。
患者様にわからないこと・不安なことがある場合も、その声に耳を傾け、しっかりカウンセリングし、その上で治療の方向性を定めてまいります。
「短期集中治療」で患者様の負担を最小限に
歯医者が苦手という方にとって、歯科医院に出向くことは苦痛以外の何物でもないと思います。

そのため、1回の治療時間を長く取り、通常であれば複数回に分けて行う治療をまとめて行う「短期集中治療」を実施しています。 必要な方はぜひご相談ください。